「犬の歯が折れた?放置すると危険な理由と治療の選択肢を獣医が解説」

サークルどうぶつ病院五条 院長の小川修平です。
今回はわんちゃんの歯冠破折について記事を書きましたのでぜひ一度お読みいただければと思います。

わんちゃんの歯は人間以上にエナメル質が薄いため非常に折れやすいです。
でも硬いものをガジガジ噛んでいるイメージがありますよね。
そのギャップから硬いおもちゃで歯が折れることが非常に多いです。
今回はそこに対する注意喚起の意味合いでの記事です!🦷


・犬の歯が欠けている
・硬いものを噛んでから様子がおかしい
・元気そうだけど病院に行くべき?

実際に、こうした相談は、実はとても多いです。
犬の歯冠破折(歯が折れること)は、見た目以上に痛みや感染を伴うことがあり、放置は危険です。

この記事では、
・犬の歯冠破折とは何か
・どんな時に治療が必要か
・放置するとどうなるか
を獣医師の視点で、正直に解説します。


犬の歯冠破折とは?

犬の歯冠破折とは

特に多いのは、

犬の歯折とは、歯が欠ける・折れる・割れる状態の総称です。

  • 犬歯
  • 第4前臼歯(裂肉歯:お肉を割くための歯 一番大きい臼歯(奥歯))

原因としては、

  • 硬いおもちゃ
  • 鹿角・骨
  • ケージ・金属
  • 落下や外傷
  • ヒマラヤンチーズ(実はめっちゃ硬いです)

が代表的です。

犬は人間(2~3mm)と違い、歯の表面のエナメル質が非常に薄い(約0.5mm)ため実は非常に折れやすいです!

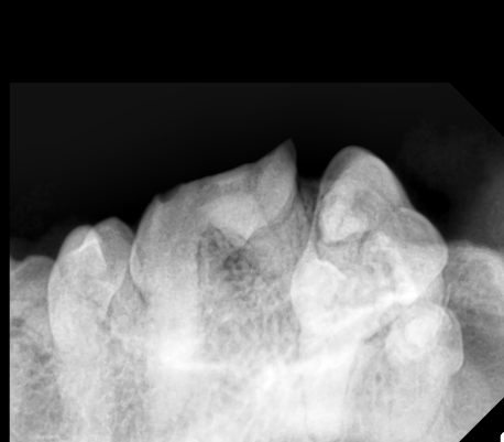
以下の写真は歯冠破折で来られたわんちゃんの写真です。

画面一番左側の歯が折れており、歯髄が露出しています。

歯科レントゲンではこのようになっており、歯髄が露出しているのが分かります。



歯冠破折のタイプと危険度(超重要)

表層の欠け(エナメル質のみ)

  • 痛み:ほぼなし
  • 対応:経過観察でもOK

象牙質まで達している歯折

  • 痛み:あり
  • 細菌感染リスク:高
  • 対応:治療検討

歯髄(神経)露出

  • 痛み:強いことが多い
  • 放置リスク:歯髄炎・根尖膿瘍
  • 対応:早急な治療が必要

犬の歯冠破折を放置するとどうなる?

  • 慢性的な歯の痛み
  • 歯髄炎
  • 根尖膿瘍
  • 顎骨への感染
  • 口腔内だけでなく全身への影響

犬は痛みを隠します。「ごはんを食べている=痛くない」ではありません。
実際に折れていない方の口で上手に噛む子も多いため、痛くないから大丈夫と思ってしまうこともしばしばあります。


犬の歯冠破折が折れた時の症状

  • 片側で噛む
  • 硬い物を嫌がる
  • 口を触られるのを嫌がる
  • よだれが増える
  • 口臭が強くなる

※ 無症状でも内部で進行していることがある。


犬の歯冠破折の治療法

治療の選択肢

  • 歯の研磨・保護処置
  • 抜歯
  • 根管治療(歯を残す治療)

選択は、

  • 歯冠破折の程度
  • 年齢
  • 全身状態
  • 飼い主さんの希望

で決まります。

👉 「放置」という選択肢は基本的におすすめしません。

今回のわんちゃんは、将来的な歯根膿瘍や全身への炎症の広がりを予防する目的でご相談の上、抜歯手術を選択しました。


向かって一番左側の歯を抜歯しました。
治療法としては、他に根管治療(感染を起こした歯髄を清掃消毒し、薬剤を詰めて封鎖する治療)がありますが、当院ではまだ根管治療を行なっておりません(今後導入していく予定です)。

よくある質問

Q. 元気なら様子見でいい?

おすすめしません。将来的な口腔内の病気リスクを考えると早期の治療がおすすめです

Q. 折れた歯は自然に治る?

残念ながら治りません。

Q. 抜歯しかない?

→ ケースによります。
早期の場合や根管治療を実施している病院があれば歯を残せることもあります。


予防のためにできること

  • 硬すぎるおもちゃを与えない
  • 鹿角・骨・ヒマラヤンチーズは避ける
  • 定期的な口腔チェック
  • 歯科検診を習慣に

まとめ

犬の歯折は、「折れたこと」より「その後の対応」が重要です。

早く気づき、適切に対応すれば、痛みや感染を防ぎ、歯を守れる可能性があります。

「ちょっと欠けてるかも?」そう気づかれた時点で、一度ご相談ください。

P.S
今回撮影に協力してくれた、凛太朗ちゃん!! ありがとう!!
いつもニコニコで病院に来てくれて嬉しいです!またササミを食べに来てね!



サークルどうぶつ病院五条
院長 小川 修平