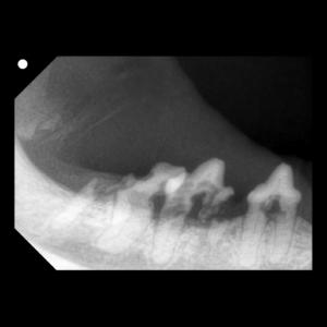
【若くても要注意】猫の歯が溶ける「吸収病巣」とは?痛みや症状、治療方法を詳しく紹介新着!!
猫ちゃんの口臭や食べ方の違和感、気になったことはありませんか?実は、猫ちゃんの2頭に1頭以上(あるいはそれ以上)が経験すると言われる、ちょっと厄介な「お口の病気」があります。 それが、かつては虫歯と勘違いされていた「吸収 […]
【獣医師が解説】犬の心臓血管肉腫:早期発見のために知っておきたいこと
こんにちは。サークルどうぶつ病院五条、院長の小川修平です。 今回は、ワンちゃんの心臓に発生する腫瘍の中で、一般的でありながら、非常に注意が必要な「心臓血管肉腫」について解説します。 心臓の腫瘍は、ある日突然、命に関わる事 […]
【休診日】4月の休診日およびゴールデンウィーク期間中の診療案内
当院の桜の盆栽も蕾が膨らみ始め、春の訪れを感じる季節となりました。皆様、いかがお過ごしでしょうか。 本日は、当院の4月の休診日および5月のゴールデンウィーク期間中の診療スケジュールについてご案内申し上げます。連休前後は混 […]
「お水を飲む量が増えた?」は病気のサインかも。犬猫の多飲多尿について解説
「最近、お皿の水の減りが早い」「おしっこの回数や量が増えた気がする」 そんな変化は、単なる季節のせいではなく、体の中からの大切なSOSサインかもしれません。 今回は、「多飲多尿」と判断する基準と、考えられる原因について詳 […]
猫の歯肉口内炎(FCGS)を深く知る:原因、病態、見逃してはいけない似た病気
「あくびを途中でやめてしまう」「口の周りを触られるのを極端に嫌がる」……。 猫の歯肉口内炎(FCGS)は、単なる口の汚れではなく、猫のQOL(生活の質)を著しく低下させる非常に厄介な病気です。 この病気の分かっていること […]
愛犬の「食べる喜び」を一生守るために―予防歯科の重要性
こんにちは。サークルどうぶつ病院五条、院長の小川です。 「予防歯科」と聞くと、皆さんは何を思い浮かべるでしょうか。毎日の歯磨き、デンタルサプリメント、あるいは定期的な検診……。これらはどれも正解ですが、実は予防歯科を成功 […]
乳歯遺残が引き起こすリスクと抜歯の重要性
サークルどうぶつ病院五条です。 ワンちゃんの歯が生え変わる生後4〜7ヶ月ごろ、「新しい歯が生えてきたのに、古い歯(乳歯)が抜けない」という状態を見かけませんか?これは「乳歯遺残(晩期残存乳歯)」と呼ばれ、放っておくと将来 […]
アレルギー検査(IgE検査)って意味があるの?
おはようございます。春になるにつれて、スギ花粉での、花粉症にお困りの方には辛い時期になってきたのでは無いでしょうか?わんちゃん猫ちゃんにも人間と同じように花粉症やアレルギーがあります。特に食事アレルギーを疑い、動物病院で […]
犬のアトピー新薬『ゼンレリア』は何が違う?実際に使用してみて
2024年に犬のアトピー性皮膚炎治療に待望の新薬『ゼンレリア』が登場しました。先日、専門のセミナーで学んだ最新の知見と実際に当院で使用している子たちの状態をもとに、お伝えします。 1. なぜ痒くなる?アトピーの裏側で起き […]
【獣医師解説】マダニが運ぶ恐怖の寄生虫「バベシア症」とは?
こんにちは。 サークルどうぶつ病院五条 院長 小川修平です。 「ノミ・マダニ・フィラリア予防シリーズ」、今回のテーマは「バベシア症」です。 「バベシア」という言葉、聞き馴染みのない方も多いかもしれませんが、実はワンちゃん […]




