【若くても要注意】猫の歯が溶ける「吸収病巣」とは?痛みや症状、治療方法を詳しく紹介

猫ちゃんの口臭や食べ方の違和感、気になったことはありませんか?
実は、猫ちゃんの2頭に1頭以上(あるいはそれ以上)が経験すると言われる、ちょっと厄介な「お口の病気」があります。

それが、かつては虫歯と勘違いされていた「吸収病巣(きゅうしゅうびょうそう)」です。

大事な愛猫の歯を守るために、飼い主さんが知っておきたいポイントを分かりやすくまとめました。


そもそも「吸収病巣」ってなに?

一言でいうと、「猫自身の細胞が、自分の歯を溶かしてしまう病気」です。

虫歯(う蝕)は細菌が歯を溶かしますが、吸収病巣は「破歯細胞」という細胞が暴走して、内側から歯を溶かしてしまいます。

  • 原因は?: 残念ながら、はっきりした原因はまだ分かっていません。
  • 関わっている要素: 免疫の異常、ドライフードの影響、栄養バランス、加齢、炎症など、さまざまな説が報告されています。

うちの子は大丈夫?リスクと統計

この病気は、年齢とともに「当たり前」のように増えていくのが怖いところです。

項目特徴・データ
発症率全体の 20〜72.5% と非常に高い
年齢別の差3歳以下:約17% / 10歳以上:約69%
種類別の差雑種:37.5% / 純血種:69.6%
見つかる平均年齢6.5歳 〜 9.2歳

猫ちゃんは痛みを隠すのがとても上手です。「もうシニアだから食べるのが遅いのかな?」と思っていたら、実は歯が溶けて激痛だった……というケースも少なくありません。

猫の吸収病巣
猫の吸収病巣

画面右側の上の歯と下の歯が一部吸収されている歯です。


こんなサインに注意!チェックリスト

歯の根元付近の歯肉が赤くなっていたら、それは「歯肉炎」ではなく「吸収病巣」のサインかもしれません。

  • [ ] 最近、食欲が落ちてきた
  • [ ] よだれが増えた、口臭がキツくなった
  • [ ] 食べ物をポロポロこぼす、飲み込みにくそう
  • [ ] 歯に何かが触れるのを極端に嫌がる
  • [ ] 以前より元気がなく、うずくまっていることが多い

病院ではどんな検査をするの?

目で見える範囲(歯肉の赤みなど)だけでは、この病気の全貌はわかりません。

  1. エキスプローラー検査: 麻酔下で、細い器具を使って歯の表面に「引っかかり」がないか確認します。
  2. 歯科レントゲン(必須!): 歯の根っこがどうなっているかを確認します。レントゲンを撮ることで、見た目では分からない異常が98%以上の確率で見つかるというデータもあります。
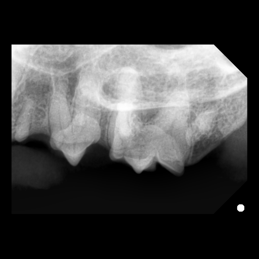
吸収病巣のレントゲン

こちらの写真は一部が吸収病巣になって溶けてしまっているレントゲン写真です。
肉眼では明らかに判断することは意外と難しいです。

こちらは同じ猫さんの上顎の歯です。
こちらは吸収病巣は起きておらず正常な状態です。

歯の状態による「タイプ」分類

  • タイプ1: 歯周病を併発していることが多い。歯の根っこはまだ残っている状態。
  • タイプ2: 歯が溶けて、周囲の骨(あごの骨)と同化してしまっている状態。
  • タイプ3: 1本の歯の中に、タイプ1と2が混ざっているもの。

治療について:以前とは常識が変わっています

昔は「少し削って埋める(詰め物)」治療も行われていましたが、現在は推奨されていません。 なぜなら、詰め物をしても結局中から溶けるのが止まらず、成績が良くないからです。

現在の主流は、痛みを取り除くための外科処置です。

  • タイプ1の場合: 抜歯が根本治療です。
  • タイプ2の場合: 歯が骨と一体化しているため、歯冠部分(歯の見えている部分)だけを切り取る「歯冠切除」を行い、歯肉を縫合します。

💡 飼い主さんへのアドバイス

「歯を抜いてしまって大丈夫?」と心配になりますが、猫ちゃんは歯がなくてもカリカリ(ドライフード)を丸呑みして食べることができます。痛みを抱えたまま過ごすよりも、抜歯して痛みから解放してあげる方が、食欲も元気も劇的に回復することが多いです。


愛猫が「あーん」したときに、歯の付け根がピンク色に盛り上がっていたり、欠けたりしていませんか?

もし少しでも違和感があれば、早めに動物病院の先生に相談してみてください。

参考文献

1) Verhaert L., Van Wetter C.: Survey of oral disease in cats in Flan-ders, Vlaams Diergeneeskundig Tijdschrift, 73, 331-341, 2004.
2) Girard N. Servwt.E. 猫の食事と口腔衛生、In:高島一昭(監修)、猫の臨床栄養、357-383、ロイヤルカナンジャポン、2008.
3) Pérez-Salcedo L., Herrela D., Esteban-Saltiveri, D., et al.: Isolation and Identification of Porphyromonas spp. and other putative pathogens from cats with periodontal disease, J Vet Dent, 30: 4, 208-213,
2013.
4) Heidi B., Lobprise H. B. Fo,
藤田柱一監訳:小動物臨床のための5分間
コンサルト診断治療ガイド 歯科学 The 5-Minute veterinary consult
clinical companion small animal dentistry second edition, 174-183,
190-194, 305-307, 308-311,インターズー、2014.
5) Pedersen N. C., #—EmaR: The veterinary clinics of north Ameri-
ca;獣医臨床シリーズ猫の歯科学、猫の炎症性口腔疾患、51-69,学窓社、1994.
6) Lund E.,藤田桂一監訳:高齢猫における歯周病の疫学、犬と猫の口腔疾
E. Vet focus, 22: 3, 23-24, ROTAL CANAN, 2013.
7) ReubelG. H, Hoffmann D.E., Pedersen N.C..林一彦訳:猫の歯科学。
猫の急性および慢性口峡炎、71-83,学窓社、1994.