【ノミマダニフィラリア編】マダニが運ぶ怖い病気「バベシア症」について
こんにちは。
サークルどうぶつ病院五条 院長、小川修平です。
今日も「ノミマダニフィラリア編」のひとつである、「バベシア症」についてまとめました!
バベシアは聞き馴染みのない方も多いと思いますが、犬がマダニに吸血されることで感染し、重度の貧血を起こしてしまう、とても怖い病気です。
正しい知識を持って、しっかり予防するようにしましょう。
バベシアについて
バベシアはマダニ媒介性の原虫であり、多くの種が世界中に認められます。
日本において問題となるバベシアは、主に以下の2種です。
- Babesia gibsoni(バベシア・ギブソニ)西日本地方に多いですが、東日本でも散発的に発生が認められます。
- Babesia canis(バベシア・カニス / vogeli)かつては沖縄のみと考えられていましたが、近年では青森、奈良、広島、大分などのマダニからも検出されており、広がりを見せている感染症です。
顕微鏡での見え方の違い
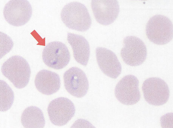
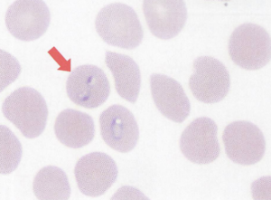
- B. gibsoni: 小型の印環(シグネットリング)状で、通常は1個の赤血球に1つの原虫が寄生します。
- B. canis: 通常、1個の赤血球に1対の大型な「洋梨状」の虫体として観察されます。

B.gibsoni(赤血球に奇声している様子)CAPより引用
感染経路
1. マダニによる吸血(最も一般的)
主にフタトゲチマダニの吸血によって感染します。バベシアが犬の体内に入るには、少なくとも2日間(48時間)の吸血が必要です。そのため、それまでにマダニを駆除することが重要です。
※ツリガネチマダニ、ヤマトマダニ、クリイロコイタマダニなどもベクター(感染を運ぶ虫)になる可能性があります。
2. 母子感染・輸血
- 感染している母犬の胎盤を介して子犬に感染する場合があります。
- 感染犬から輸血を受けることで感染することもあります。供血犬となる場合は、必ずバベシア陰性であることをチェックしなければなりません。
病態と症状
病態
バベシア原虫が赤血球を破壊することで、「溶血性貧血(血が壊されて赤血球が足りなくなること)」が生じます。また、血液を固めるために必要な「血小板」の数が減ってしまうこともあります。
主な症状
症状は軽度のものから、命に関わる重度なものまで様々です。
- 急性症状: 重度の貧血、血小板減少、発熱、食欲減退、脾臓の腫れ など
- 慢性症状: 軽度の貧血、粘膜蒼白、脾腫(ひしゅ)、リンパ節の腫れ、沈鬱(元気がなくなる) など
検査と診断
診断には、赤血球の中にバベシア原虫がいることを確認します。
- 顕微鏡検査: 血液塗抹を直接観察します。
- 遺伝子検査(PCR): 外注検査にてB. gibsoniの遺伝子を検出することで確定診断します。
【注意ポイント】
バベシア症は、免疫介在性溶血性貧血(IMHA)という病気と非常に似ています。バベシア感染がきっかけでIMHAを併発したり、検査結果が陽性に出たりすることもあるため、IMHAを疑う際は必ずバベシアの有無もチェックする必要があります。
治療
主に内服薬を使用して治療を行います。
| 治療薬 | 特徴 |
| ジミナゼンアセチュレート | 即効性があるが、重篤な副作用の可能性がある。 |
| アトバコン | 即効性があり副作用も少ないが、再発の可能性があり、再発時は薬が効きにくくなる。 |
| 併用療法(クリンダマイシン等) | 初期効果は緩やかなため、輸血が必要になる場合がある。 |
予後
投薬による副作用を回避でき、適切に治療を行えば予後は良好です(通常の寿命を全うできる病気です)。
ただし、一度感染したB. gibsoniは体内から完全に消えることはありません。
生涯にわたり、再発を防ぐために以下のことに気をつける必要があります。
- ストレス管理を徹底する
- 免疫抑制剤の使用に注意する
- (原則として)脾臓を摘出しない
予防が一番大切です!
この病気は、マダニ予防によって防ぐことができます。
特殊な経路を除けば、マダニに血を吸わせないことが最大の防御です。
- ノミマダニ予防薬を通年で使用することを推奨します。(マダニは冬場でも草むらなどに生息しています)
バベシアは時に重篤な症状を引き起こし、一度感染すると生涯付き合っていかなければならない病気です。愛犬が感染しないよう、普段からしっかり予防していきましょう!
サークルどうぶつ病院五条
院長 小川修平



